Curso 1: Manejo de Grandes Atrofias Óseas mediante GBR. 

Curso 2: Perio – Prótesis Skills: del Unitario a la Rehabilitación Completa FP1

Dr. Javier Mayor Arenal y Dr. Xurxo Álvarez Lourido
 
Nuevas fechas, en breve.
Si estás interesado en apuntarse a este curso, puedes preinscribirse ahora para que nos pongamos en contacto con usted con anticipación.

Inversión 5 dias

2750€

  • Con el Dr Javier Mayor Arenal y Dr. Xurxo Álvarez Lourido
  • 5 días de formación (09 a 13 febrero 2026) en el Centro de Formación Roots Dental Academy en Lisboa;
  • handson con ó prácticas 

  • Curso reconocido con diploma oficial emitido por la DGERT;
  • 5 Almuerzos y Coffee Breaks;
  • BONO 1: Área de miembros de FromRoots con 15 seminarios web, artículos y libros;
  • BONO 2: Comunidad de WhatsApp de Fromroots Alumni
Quiero preinscribirme.

Inversión 3 dias

1800€

  • Con el Dr Javier Mayor Arenal
  • 3 días de formación (09 al 11 febrero 2026) en el Centro de Formación Roots Dental Academy en Lisboa;
  • handson con ó prácticas 

  • Curso reconocido con diploma oficial emitido por la DGERT;
  • 3 Almuerzos y Coffee Breaks;
  • BONO 1: Área de miembros de FromRoots con 15 seminarios web, artículos y libros;
Quiero preinscribirme.

Inversión 2 dias

1200€

  • Con el Dr. Xurxo Álvarez Lourido
  • 2 días de formación (12 y 13 febrero 2026) en el Centro de Formación Roots Dental Academy en Lisboa;
  • handson con ó práctica 

  • Curso reconocido con diploma oficial emitido por la DGERT;
  • 2 Almuerzos y Coffee Breaks;
  • BONO 1: Área de miembros de FromRoots con 15 seminarios web, artículos y libros;
Quiero preinscribirme.

¿CUAL ES EL  ASPECTO DIFERENCIADOR DE ESTO CURSO?

En este curso se establecerá de forma clara, cómo planificar un tratamiento regenerativo en pacientes con atrofia ósea horizontal , vertical o ambos,  explicando la secuencia clínica de actuación para el tratamiento de los maxilares atróficos, desde el diagnóstico, hasta la reconstrucción del tejido duro, así como describir cuando y con qué técnicas debemos realizar la modificación de los tejidos blandos,  para lograr mucosa queratinizada y grosor de tejido alrededor de los implantes, consiguiendo una estabilidad tisular adecuada y necesaria para el buen resultado del tratamiento rehabilitador, y por último, establecer en qué momento empezar la toma de registros para realizar la prótesis tras dichos tratamientos.
Se darán pautas sobre medicación , análisis de patologías médicas y hábitos del paciente relevantes: manejo del paciente fumador, influencia del estilo de vida , inestabilidad mecánica por cargar con peso o deporte ( macro y micromovimientos) , diabéticos y la importancia que tiene el  aumento de la glucemia  en nuestro tratamiento regenerativo, bifosfonatos,  hipertensos, alérgicos a penicilina etc.
Hablaremos de cómo provisionalizar de forma efectiva y predecible, sin que afecte al resultado de nuestra regeneración realizada.
Como resolver complicaciones en regeneración ósea guiada horizontal y vertical , con casos clínicos explícitos para que el participante vea de forma clara y detallada la resolución de dichas complicaciones, así como "tips" para evitar que aparezcan.
El participante aprenderá cómo realizar de forma predecible  una regeneración ósea  guiada horizontal con membranas reabsorbibles y  una ROG vertical con membranas no reabsorbibles sobre modelo animal,   aprendiendo a fijar las membranas con chinchetas , sutura y  tornillos, además de aprender cómo se debe realizar el manejo de tejidos blandos tras la maduración del injerto óseo, mediante una práctica en la que se realizará un injerto epitelio - conectivo libre sobre modelo animal. 
Por lo tanto, este Curso va dirigido aquellos clínicos que quieren ampliar su conocimiento y experiencia en Cirugía Regenerativa de tejidos duros y blandos,  para enfrentarse a situaciones comprometidas de déficit tisular, y así, conseguir regenerar el hueso perdido con el fin de colocar implantes en posición 3D óptima con un soporte óseo idóneo , y con tejidos blandos adecuados que aporten estabilidad y estética a largo plazo.
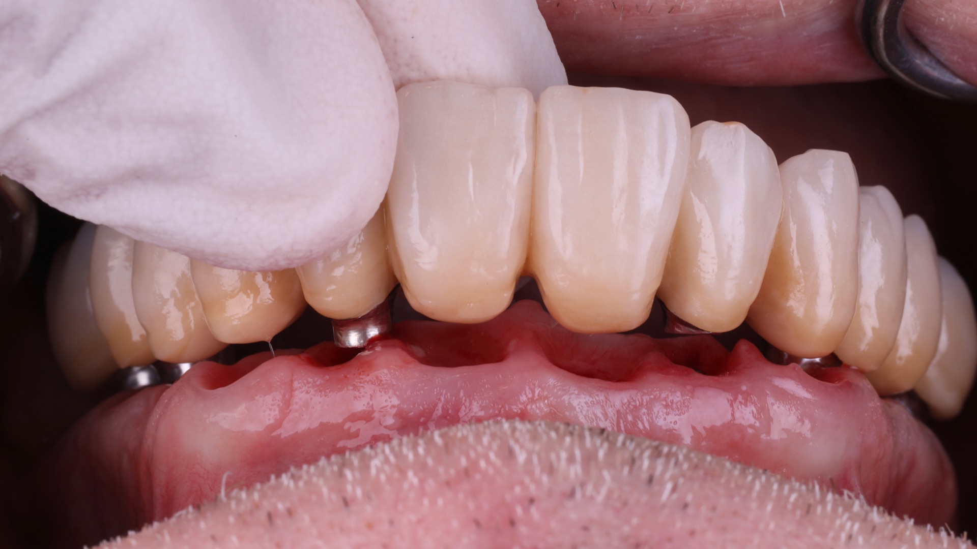
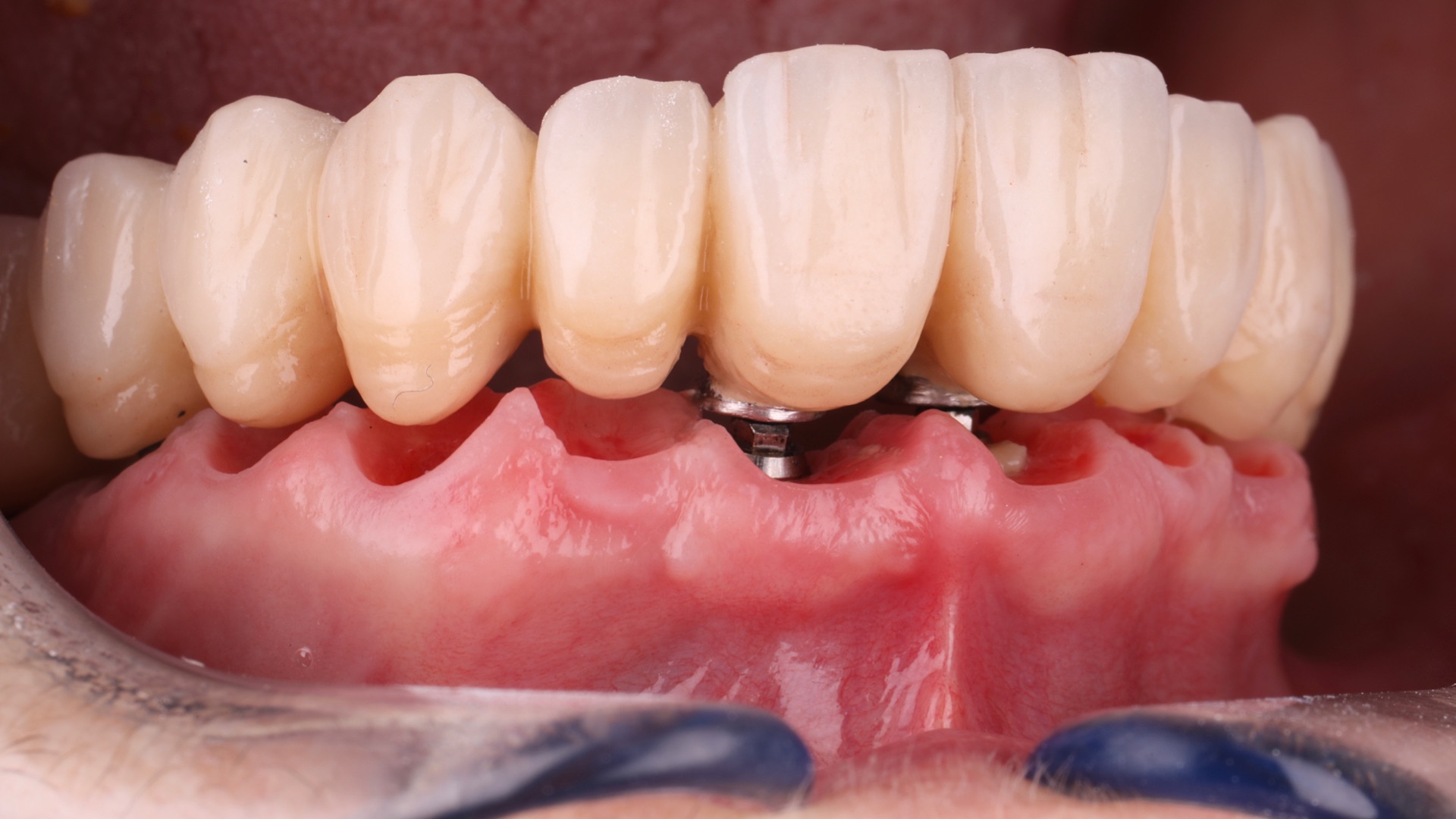
El participante aprenderá  protocolos de trabajo en implantología estética inmediata con un abordaje perio  - prostético desde el unitario a la rehabilitación completa FP1, mostrando como manejar casos de alto compromiso estético.
Aplicación de técnicas flapless e inmediatas con provisionalización para reducir la morbilidad, para minimizar el tiempo de tratamiento y maximizar la predictibilidad.
Enfoque 100% clínico: Análisis y descripción paso a paso de técnicas de reconstrucción alveolar.
Resultados Reproducibles: TIPS y protocolos para implementar lo aprendido de forma inmediata.

 

Dr Javier Mayor Arenal

 
Licenciado en Odontología por la Universidad Europea de Madrid (2002).
 
Profesor asociado del Master de Periodoncia de la Universidad Europea de Madrid.
 
Profesor colaborador de los Master en Implantología, Cirugía y Periodoncia de la Universidad Isabel I , U. de Granada, U. Alfonso X , UDIMA – IPAO , U. Internacional de Catalunya (UIC) y Universidad del País Vasco ( UPV/ EHU).
 

Formación avanzada en Reconstrucción Ósea  con el Dr. Istvan Urban, Dr. Sascha Jovanovic, Dr. Pier Gallo, Dr. David González, Dr. Juan Alberto Fernandez, Dr. Ramón Gómez Meda, Grupo Implante Perio, Grupo DL Cirugía Oral y Dr. Antonio Murillo.

Formación avanzada en Cirugía Plástica Periodontal y Periimplantaria con Dr. Paulo Fernando Mesquita de Carvalho, Dr. Antonio Murillo, Dr. David González , Dr. Ion Zabalegui, entre otros.
 
Formación avanzada en Macrofotografía Dental con el Dr. Silvestre Ripoll y Dr. Carlos Ayala.
 
Dictante de cursos y conferencias a nivel nacional e internacional sobre Regeneración Ósea en Implantología.
 
Colaborador activo , formador y  Opinion Leader en diferentes compañías de biomateriales.
 
Experto colaborador de la plataforma de formación online OralSurgeryTube y Dental Surgery Channel
 
Mentor de DentalStay.  Estancias clínicas personalizadas.
 
Especialista en Reconstrucción Tisular e Implantología con práctica privada en Madrid y Andalucía.

Dr Xurxo Álvarez Lourido

Licenciado odontología  

2013 (Universidad Alfonso X el Sabio) 

 

Máster en Periodoncia Médico Quirúrgica  

2016 (Universidad CEU San Pablo) 

 

Posgrado en Estética dental y nuevas tecnologías 

2017 (Universidad Complutense de Madrid) 

 

Técnica de preparación biológicamente orientada BOPT 

2017 (Universidad Complutense de Madrid)(profesor Ignazio Loi) 

 

Profesor en Máster de cirugía, implantología y rehabilitación 

(Universidad Europea Miguel de Cervantes) 

 

Profesor en el Máster de periodoncia  

(Universidad de Zaragoza) 

 

Director curso modular de perio-protesis y reconstrucción de tejidos 

(Think in Pink concept) 

 

Práctica privada en España y Portugal en cirugía y prótesis 

 

Roots Dental Academy

- Rua Estado da Índia nº 4, 3 C, Sacavém, Lisboa, Portugal

- Aeropuerto: 15 minutos (5€ Uber)

- Centro de la Ciudad de Lisboa: 15 minutos (5€ Uber)

 

Política de cancelación

 

El curso cuesta 2750€. Los antiguos alumnos de FromRoots y Roots Dental Academy obtienen un descuento de 150€.

El pago se realiza de la siguiente manera: 500€ al momento de la inscripción y el valor restante un mes antes del inicio del curso.

No se aceptan cancelaciones. En ningún caso se reembolsarán ni acreditarán los importes pagados para otros cursos.